Oídos, Nariz y Garganta: Enfermedades y Cirugía Funcional
Bienvenidos, Domingo 19 de Abril, 2026OÍDO ANATOMIA NORMAL
Cada uno del par de órganos de la audición consta de tres partes:
EN FARINGO-LARINGE:- Apneas obstructivas
- Tratamiento del ronquido
- Amigdalitis
- Vegetaciones
- Disfonías
- Pólipos y nódulos de cuerdas vocales
- Tumores de la región faringo-laríngea
La boca cumple varias funciones, la mayoría de las cuales las comparten con la faringe. Participa en las funciones de alimentación, respiración y de posición.
Los labios circundan el acceso de la boca, la superficie exterior está cubierta de piel y la parte interior por mucosa; como la membrana mucosa es mas transparente que la piel, los capilares proporcionan un color rojizo rosado.
Las paredes laterales las forman las mejillas que están formadas a su vez por un músculo (buccinador) y grasa que desde el niño al adulto va disminuyendo, por lo tanto es lo que da una de las características de la cara en el niño y el adulto.
Lengua:
Es un órgano muscular situado en el piso de la boca y en la pared anterior de la faringe. Le concierne la función de la masticación, deglución, el habla y el gusto.
Faringe:
En los seres humanos, como en los demás mamíferos, la faringe se localiza entre la vía aérea y la vía digestiva, así como a nivel de la unión del cuello el cráneo y la cara. La faringe participa en las funciones de alimentación, la rumiación, eructo y el vómito; así como en los procesos de la respiración.
Para la función de la alimentación, la faringe activa se relaciona con la boca y el esófago; para la respiración se relaciona con la nariz, la laringe y la vía aérea inferior y para el mantenimiento de la vía aérea con los músculos posteriores del cuello.
Glándulas salivales:
Las glándulas salivales son los órganos responsables del mantenimiento de un medio bucal propicio para la masticación de los alimentos. Según algunos estudios sobre la composición de la saliva, demostraron que ésta posee un papel protector para el mantenimiento de la higiene bucal, la higiene dental y para prevenir las caries.
Las glándulas salivales mayores son: parótidas, submandibulares o submaxilares y sublinguales. También hay glándulas menores dispersas por toda la boca.
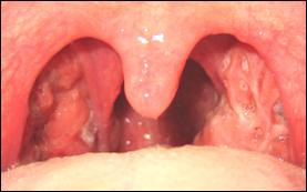
AMIGDALAS Y ADENOIDES
Introducción:
Las adenoides son una colección de tejido linfoide difuso, que se encuentran profundamente en la mucosa del techo y de la pared posterior de la nasofaringe, así como en la pared lateral de la faringe hasta llegar a la abertura de la trompa de Eustaquio. Se encuentran bien desarrolladas en la infancia y si son anormalmente grandes, pueden bloquear las coanas o fosas nasales posteriores e interferir con la respiración nasal. No se pueden ver a simple vista.
Las amígdalas ó anginas son un par de masas con aspecto de almendra formadas también por tejido linfoide. Cada una está situada a cada lado de la garganta. Muestran unas pequeñas depresiones llamadas criptas. Pueden verse relativamente fácil al abrir la boca, iluminando la garganta con una lamparita. Se cree que intervienen en la defensa contra las enfermedades; sin embargo, su infección crónica por virus y bacterias pueden provocar distintos tipos de afecciones.
